Single Tooth Dental Implant in Dublin

If you are missing one tooth, a single tooth dental implant is one of the most predictable and long-term replacement options available.

At HappyDental Dublin, we provide structured, carefully planned implant treatment designed to restore function, appearance and long-term stability.

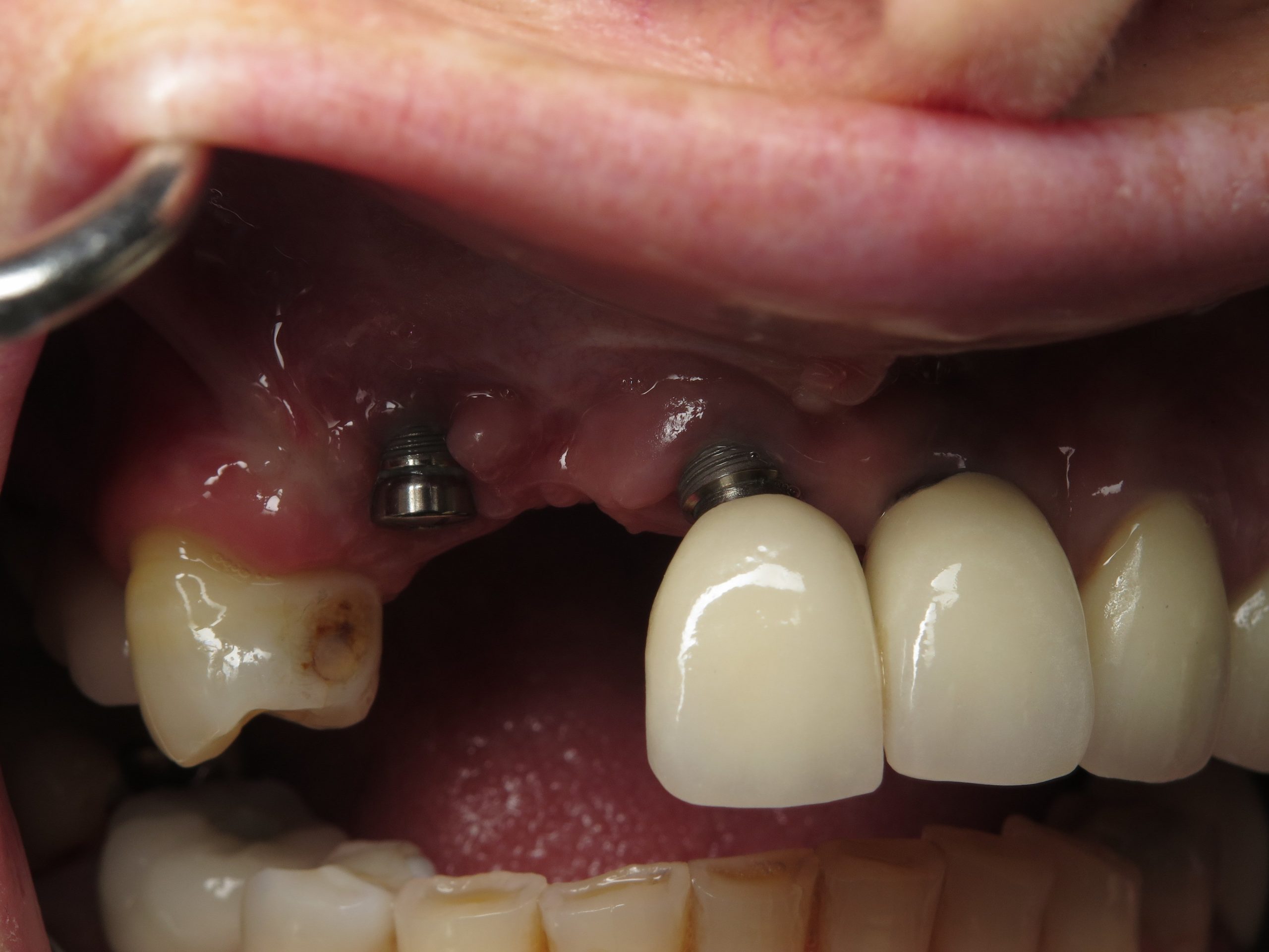
What Is a Single Tooth Dental Implant?

A single tooth dental implant replaces one missing tooth without affecting neighbouring teeth.

It consists of:

  • A titanium implant placed into the jawbone
  • A custom abutment
  • A natural-looking ceramic crown

Unlike a traditional dental bridge, a single implant does not require drilling or preparing adjacent healthy teeth.

Who Is Suitable for a Single Implant?

You may be suitable if you:
  • Have one missing tooth
  • Have healthy gums
  • Have adequate bone support
  • Maintain good oral hygiene
  • Do not have uncontrolled medical conditions

A full assessment, including imaging, is required before treatment is confirmed.

Step-by-Step Procedure

01

Consultation & Assessment

We assess your oral health and suitability for implant treatment.

02

3D Imaging (If Required)

CBCT imaging may be used to evaluate bone volume and positioning.

03

Implant Placement

The implant is placed under local anaesthetic.

04

Healing Phase

The implant integrates with the bone over several months.

05

Final Crown Placement

A custom ceramic crown is attached for a natural appearance.

Recovery After a Single Tooth Implant

Most patients experience:
  • Mild swelling
  • Minor discomfort
  • Quick return to normal routine

Healing time varies but typically ranges between 8–16 weeks depending on bone quality and case complexity.

Single Implant vs Dental Bridge

A dental implant:
  • Does not damage adjacent teeth
  • Helps preserve jawbone
  • Can last many years with proper care

A bridge may require preparation of healthy neighbouring teeth and does not prevent bone loss beneath the missing tooth.

How Much Does a Single Tooth Implant Cost in Dublin?

The cost of a single tooth dental implant in Dublin varies depending on:

Bone condition

Need for grafting

Implant system used

Restoration materials

A detailed treatment plan and cost breakdown are provided after clinical assessment.

For a broader overview of implant pricing in Ireland, see our guide to dental implant costs.

How Long Does a Single Implant Last?

With proper maintenance and regular dental reviews, a single implant can provide long-term stability and function.

Good oral hygiene and routine care are essential for long-term success.

Why Choose HappyDental for Single Tooth Implants in Dublin?

Patients choose our Dublin clinic because of:
  • Structured treatment planning
  • Modern digital assessment
  • Transparent communication
  • Emphasis on long-term outcomes
  • Implant-focused care

Our goal is to provide carefully planned tooth replacement in a calm, professional environment.

Book a Consultation in Dublin

If you are missing a tooth and would like to explore your options, the first step is a consultation.

During your appointment, we will:

  • Assess suitability
  • Review imaging requirements
  • Explain available options
  • Provide a detailed cost outline

Book your consultation today to discuss single tooth dental implant treatment in Dublin.

Frequently asked question

Why would I need dental implants?

One of the obvious reasons is that with a dental implant you are replacing your missing tooth or teeth so you will now be able to eat, smile and speak better. Without having dental implants to replace missing teeth your jawbone is not as well protected when you are eating which can put undue pressure on the jaw causing damage over the long term.

  • Teeth either side of the missing tooth can close together.
  • Difficulty chewing and trapping food in the gap which can cause decay.
  • Poor facial appearance if you are missing a few teeth.
  • Loss of lip support.

A Dental Implant will help me how?

A dental implant will help you forget you even lost a tooth. Maybe you have a front tooth missing or when you smile you put your hand up to cover your mouth. Does you denture slip around or not feel in place at all times? Having trouble eating? A dental implant can help you fix all these problems because the missing tooth or teeth will now be back in situ and you can carry on living, eating and most importantly smiling properly with no shame or concerns.

How much will a dental implant cost me?

We use a selection of dental implants from the leading companies.

A dental implant will cost you €1600.00 which is a reasonable price in comparison to other offers on the market today.

Can anyone have Dental Implants?

Dental implants are suitable for most people BUT there are few things our dental implant dentists will need to consider when examining a potential dental implant candidate.

The first consideration our team will be looking at is your overall Oral Health and Medical History. They will then examine you to see what options may be available to you by using dental implants. Finally we will move to understanding whether the you have enough bone to support the dental implant.

To assess your bone density and suitability for dental implants a CT Scan will be required. This stage will only be done when you have been given an estimate of what potentially may be available to you.

Heavy smokers and excessive drinkers may want dental implants but they might not be necessarily suitable. People with diabetes are also not considered suitable for dental implants.

After careful consideration of your medical history you and our team will decide on whether a dental implant is ideal for you.

Does having a dental implant hurt?

When placed properly by a qualified dental implant clinician there will be no pain in fact most patients say that having a dental implant placed is usually less painful afterwards than when they had a tooth filled.

How long does it take for a dental implant to be placed?

After you and your IDC Registered Clinician have decided that dental implants are the solution for your oral health a dental implant takes about an hour to place. We will want to see you two weeks later to remove stitches, to make sure everything is okay and healing in a satisfactory manner. After the dental implant is placed you will require a 4-6 month healing period before you the dentist will place the crowns on top of the dental implant.

Your dental implant, with you making sure you look after your oral hygiene properly, should last you a lifetime. In fact the manufacturer of the dental implant gives a lifetime warranty for the dental implants themselves.