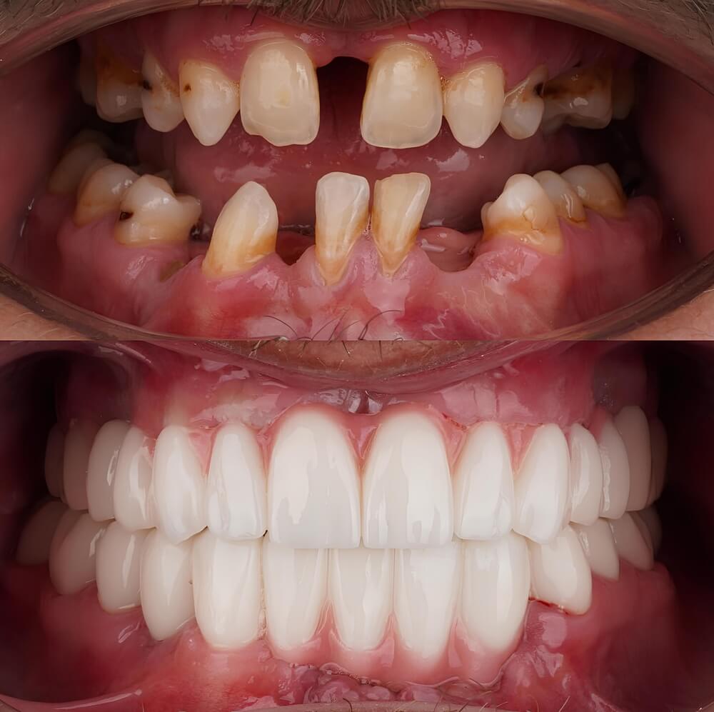
Fixed Arch on 4 Dental Implants

If you are missing most or all of your teeth, full arch dental implants can provide a fixed, stable replacement solution.

At HappyDental Dublin, we provide carefully planned full arch implant treatment designed to restore chewing ability, appearance and long-term function.

What Are Full Arch Dental Implants?

Full arch dental implants replace all teeth in the upper or lower jaw using a small number of strategically placed implants.
  • Four implants are placed in the jaw
  • A fixed bridge is attached
  • The result is a stable, non-removable set of teeth

This approach allows many patients to avoid removable dentures.

Who Is Suitable for Full Arch Implant Treatment?

You may be suitable if you:
  • Are missing most or all teeth in one arch
  • Wear loose or uncomfortable dentures
  • Have adequate bone support
  • Are medically fit for minor oral surgery

A full clinical assessment and imaging review is required before treatment planning.

Step-by-Step Full Arch Implant Procedure

01

Consultation & Assessment

We assess your oral health and suitability for implant treatment.

02

3D Imaging & Planning

CBCT imaging may be used to evaluate bone structure and implant positioning.

03

Implant Placement

Four implants are placed strategically within the jawbone.

04

Healing & Integration

Implants integrate with bone over several months.

05

Final Fixed Bridge Placement

A custom-designed fixed bridge is attached to the implants.

Recovery After Full Arch Implants

Most patients experience:
  • Mild swelling
  • Temporary discomfort
  • Gradual return to normal function

Healing timelines vary depending on bone quality and case complexity.

Full Arch Implants vs Removable Dentures

Compared to removable dentures, full arch implants:
  • Provide improved stability
  • Allow stronger biting force
  • Reduce movement while eating
  • Support jawbone preservation

Dentures may shift or loosen over time, while implants provide a fixed solution.

How Much Do Full Arch Dental Implants Cost in Dublin?

The cost of full arch implant treatment in Dublin depends on:

Bone condition

Need for grafting

Restoration materials

Case complexity

A detailed treatment plan and cost breakdown are provided after consultation.

For a broader overview of implant pricing, see our dental implant cost guide.

How Long Do Full Arch Implants Last?

With proper maintenance and regular reviews, full arch implants can provide long-term stability and function.

Good oral hygiene and professional cleaning are essential for long-term success.

Why Choose HappyDental for Full Arch Implants in Dublin?

Patients choose our Dublin clinic because of:
  • Structured treatment planning
  • Digital assessment protocols
  • Transparent communication
  • Long-term care focus
  • Implant-focused clinical approach

Our aim is to provide carefully planned, predictable full arch implant treatment.

Book a Consultation in Dublin

If you are considering fixed full arch implant treatment, the first step is a consultation.

During your visit, we will:

  • Assess suitability
  • Review imaging requirements
  • Explain treatment stages
  • Provide a detailed cost outline

Book your consultation to discuss full arch dental implants in Dublin.

1- Assessment and Treatment Planning

The First Step is a Consultation, a thorough evaluation is conducted by one of our Dental Implant Qualified Dentists. This includes assessing the condition of your existing teeth, gums, and jawbone. A CT Scan is required to proceed to the Treatment Planning which can be done on the day of the Consultation, cost €160.00 plus €40.00 for diagnosis, or the patient can choose to not do or do at a later date .

The initial quotation is customized and unique based on each patient’s differing specific needs, and the feasibility of the Full Arch on Four Dental Implants approach is determined.

6- Benefits

Full Arch on Four Dental Implants offer several advantages, including:

  • Faster treatment time compared to traditional implant-supported full arch restorations.
  • Reduced surgical complexity, often eliminating the need for bone grafts.
  • Improved stability and function compared to removable dentures.
  • Enhanced aesthetics and self-confidence.
  • A more cost-effective solution compared to individual implants for each missing tooth.

7- Maintenance and Care

Just like natural teeth, Full Arch on Four Dental Implants require regular oral hygiene and maintenance. Patients should brush and floss their new teeth as directed by their dentist and attend regular check-ups.

8- Longevity

It’s important to note that the success of the Full Arch on Four Dental Implants procedure depends on various factors, including the patient’s overall health, the quality and quantity of available bone, and adherence to post-surgery care instructions. Therefore, it’s essential to consult with one of our qualified dental professional to determine if Full Arch on Four Dental Implants are the right solution for your specific dental needs.

2- Dental Implant Placement

On the day of the procedure, the patient is numbed with local anesthesia to ensure comfort during the surgery.

Four dental implants are strategically placed in the jawbone. Two of these implants are inserted vertically in the front of the arch, and the other two are placed vertically in the rear of the arch with one on each side. This provides better support and takes advantage of the available bone, even if it has some degree of resorption.

3- Temporary Denture

After the implant placement, a temporary set of teeth, often referred to as a provisional prosthesis or denture, is an option some patients choose. This allows the patient to have functional teeth while the implants heal and integrate with the jawbone without putting pressure directly onto the dental implants.

4- Healing and Osseointegration

Over the next five months, the dental implants will gradually fuse with the surrounding bone through a process called osseointegration. This integration ensures a strong and stable foundation for the permanent teeth.

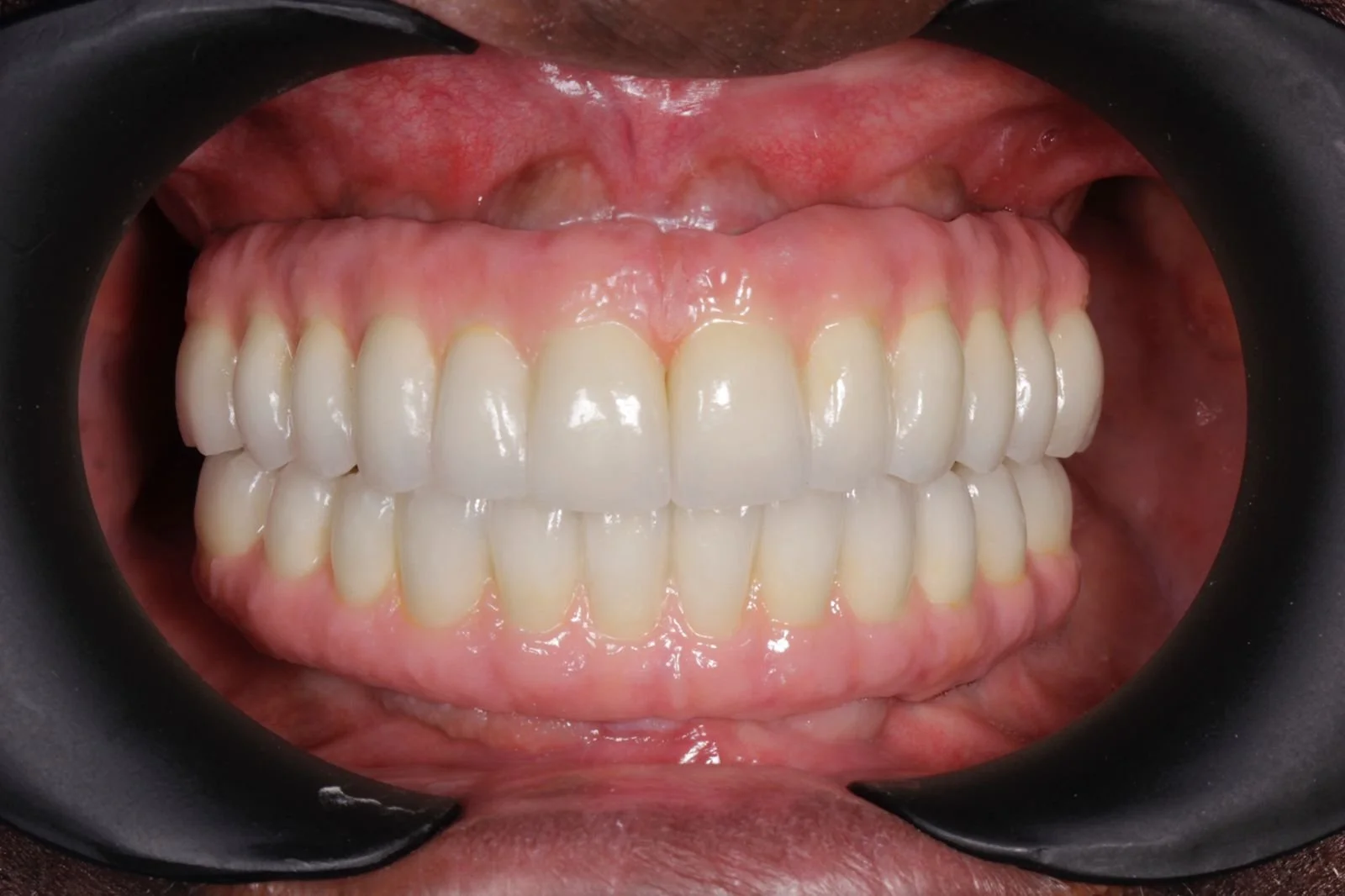
5- Final Prosthesis

Once osseointegration is complete, the temporary prosthesis is replaced with a permanent set of teeth. These teeth are custom-made to fit your mouth comfortably and resemble natural teeth in both appearance and function.